Meski sering dikira sama, veneer dan bleaching adalah dua hal yang berbeda, lho. Perbedaan tersebut terletak pada tujuan dan cara kerjanya. Akibatnya, hasil dari veneer dan bleaching juga berbeda.
Tapi, apa saja perbedaan veneer dan bleaching gigi? Artikel ini akan membahas mengenai hal tersebut, termasuk efeknya dan rekomendasi mana yang lebih bagus. Yuk, simak selengkapnya di bawah ini!
Perbedaan Veneer dan Bleaching Gigi

Sebelum membahas perbedaannya secara detail, kamu perlu tahu lebih dulu perbedaan dari pengertian veneer dan bleaching.
Veneer
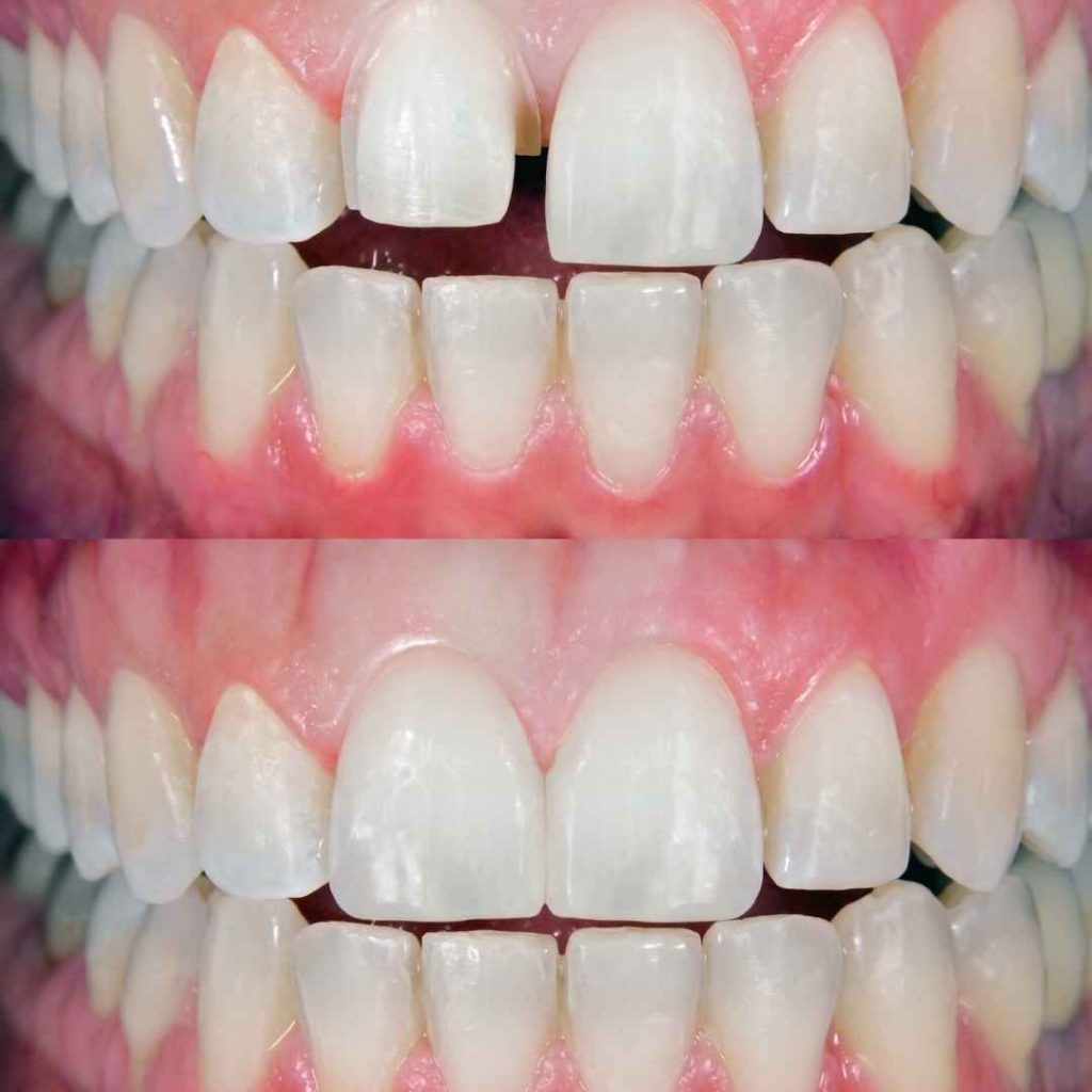
Melansir laman mypandentis.org, veneer gigi adalah lapisan tipis porselen atau bahan kuat lainnya yang melapisi permukaan depan gigi. Warnanya sewarna email gigi dan dirancang khusus untuk setiap pasien.
Berikut beberapa hal yang sangat penting dalam proses veneer:
- Prosedurnya melibatkan persiapan gigi, seperti pengikisan enamel sedikit agar veneer bisa menempel dengan baik.
- Hasilnya bisa sangat estetik dan tahan lama.
- Karena ada pengikisan enamel, maka prosedur ini sering dianggap bersifat “irreversibel” (tidak bisa dikembalikan persis seperti semula) untuk banyak jenis veneer.
Bleaching
Lalu, apa itu bleaching gigi? Melansir laman nhs.uk, bleaching merupakan proses memutihkan gigi dengan gel dan laser tertentu. Tujuannya untuk menghilangkan noda atau perubahan warna yang terjadi pada gigi agar kembali cerah.
Berikut beberapa hal penting tentang bleaching:
- Prosedurnya relatif lebih sederhana dibanding veneer, karena hanya memutihkan gigi tanpa merubah bentuk atau ukuran gigi secara mayoritas.
- Efeknya bersifat sementara, yaitu warna putih yang dihasilkan bisa memudar jika tidak dirawat dengan baik.
- Tidak semua jenis perubahan warna gigi bisa diatasi dengan bleaching; misalnya noda berat atau perubahan warna tertentu mungkin kurang efektif.
Setelah tahu perbedaan definisi keduanya, kini saatnya kita bandingkan secara lebih terstruktur mengenai perbedaan veneer dan bleaching gigi agar kamu bisa lebih memahami mana yang cocok untuk situasimu.
Tabel Perbedaan Veneer dengan Bleaching Gigi
Menyimpulkan dari berbagai laman, berikut beberapa aspek perbedaan antara veneer dengan bleaching gigi:
| Aspek | Veneer Gigi | Bleaching Gigi |
| Mekanisme | Melapisi gigi dengan material (porselen atau komposit) → memperbaiki warna, bentuk, ukuran, posisi. | Mengaplikasikan bahan pemutih yang menembus enamel untuk menghilangkan atau memecah noda warna. |
| Metode / Prosedur | Prosedur lebih kompleks: konsultasi, persiapan gigi (gosok/gerus enamel sedikit), pencetakan (untuk beberapa jenis), pemasangan. | Prosedur lebih cepat: pengolesan bahan pemutih di klinik atau bahkan di rumah (tergantung kasus), sinar atau alat bantu mungkin digunakan. |
| Daya tahan hasil | Ketahanan lebih lama: bisa bertahan 10-15 tahun atau bahkan lebih jika dirawat dengan baik. | Hasil bersifat sementara; bisa bertahan dari beberapa bulan hingga 1-3 tahun tergantung kebiasaan dan perawatan. |
| Apa yang diperbaiki | Tidak hanya warna: juga bentuk, ukuran, celah antara gigi, patah ringan, gigi sedikit miring. | Fokus utama pada warna/perubahan warna gigi; tidak merubah bentuk atau posisi gigi secara signifikan. |
| Kandungan risiko / persyaratan | Karena ada pengikisan enamel: harus kondisi gigi relatif sehat dulu; biaya dan waktu lebih besar. | Lebih mudah dilakukan, tetapi tidak boleh dilakukan jika ada gigi berlubang besar, gigi sensitif berat, ibu hamil, anak, dll. |
| Biaya / investasi | Umumnya lebih mahal karena material dan prosedur yang lebih kompleks. | Biaya umumnya lebih rendah dibanding veneer karena prosedur lebih sederhana. |
Berdasarkan tabel di atas, jelas bahwa perbedaan veneer dan bleaching gigi mencakup aspek prosedur, hasil, ketahanan, dan biaya. Jadi penting bahwa kamu dan dokter gigi memilih sesuai kondisi gigi dan tujuan estetik yang ingin dicapai.
Efek Samping Veneer dan Bleaching Gigi

Setelah tahu perbedaannya, penting juga untuk memahami efek samping dari masing-masing prosedur agar kamu bisa membuat keputusan yang tepat:
Efek Samping Veneer Gigi
Beberapa efek samping yang bisa terjadi setelah pemasangan veneer:
- Gigi menjadi lebih sensitif terhadap suhu panas/dingin. Karena saat pemasangan veneer, sedikit enamel gigi mungkin direduksi.
- Prosedur ini bersifat tidak reversible (untuk sebagian besar jenis) karena enamel dihilangkan sebagian.
- Gusi bisa mengalami iritasi ringan atau rasa tidak nyaman di sekitar area veneer saat awal penyembuhan.
- Risiko bahwa veneer bisa lepas, pecah, atau berubah warna bila bahan atau pemasangannya kurang optimal.
- Karena bagian enamel telah dikurangi, ada risiko kerusakan pada struktur gigi asli jika tidak dirawat dengan baik.
Jadi, walaupun veneer memberikan hasil yang bagus, kamu perlu memahami bahwa ini bukan prosedur “bebas risiko” dan juga memerlukan perawatan serta komitmen jangka panjang.
Efek Samping Bleaching Gigi
Untuk prosedur bleaching, berikut beberapa efek samping yang umum:
- Gigi menjadi sensitif sementara, sering terhadap suhu panas/dingin atau bahan manis/asam.
- Iritasi gusi atau jaringan lunak di sekitar gigi jika bahan pemutih bersentuhan atau prosedur tidak dilakukan dengan benar.
- Hasil yang tidak merata: bisa muncul bintik putih atau warna yang berbeda antar gigi tergantung kondisi awal gigi.
- Efek jangka panjang jika prosedur dilakukan terlalu sering atau dengan bahan terlalu kuat maka potensi pengikisan enamel atau perubahan struktur gigi.
Karena itu, meskipun bleaching tergolong prosedur yang lebih sederhana, tetap harus dilakukan oleh profesional dan setelah kondisi gigi dipastikan sehat.
Lebih Bagus Pilih Mana: Veneer atau Bleaching?

Jawabannya sangat tergantung pada kondisi gigimu, anggaran, tujuan estetis, dan komitmen untuk perawatan jangka panjang. Berikut beberapa panduan untuk memilih.
Faktor-faktor yang perlu kamu pertimbangkan
Kondisi gigi saat ini
- Apakah gigimu hanya mengalami perubahan warna ringan atau noda akibat makanan/minuman? Kalau ya, bleaching bisa jadi pilihan cukup.
- Apakah gigimu bentuknya tidak rapi, patah ringan, ukuran tidak sama, ada celah atau noda berat yang susah diatasi bleaching? Maka veneer bisa jadi lebih cocok.
Berapa lama kamu ingin hasilnya bertahan?
- Jika kamu ingin hasil yang tahan lama dengan investasi lebih besar, veneer adalah pilihan kuat.
- Jika kamu ingin hasil yang cepat dengan biaya lebih rendah dan siap melakukan perawatan ulang, bleaching bisa cukup.
Budget yang kamu punya
- Veneer membutuhkan biaya lebih besar dan juga mungkin lebih banyak kunjungan ke dokter gigi.
- Bleaching biasanya lebih murah dan lebih cepat.
Komitmen perawatan jangka panjang
- Veneer memerlukan perawatan yang baik dan kebiasaan menjaga agar tidak mudah rusak (misalnya hindari makanan/minuman yang sangat menodai, hindari menggigit benda keras).
- Bleaching membutuhkan kamu menjaga kebiasaan agar warna putih bertahan (hindari kopi, teh, rokok, dan rajin kontrol).
Kecocokan medikal dan estetik
- Tidak semua orang cocok menjalani bleaching (misalnya gigi sensitif parah, gigi berlubang, anak-anak, ibu hamil).
- Veneer membutuhkan kondisi gigi dasar yang sehat, tanpa infeksi gusi berat dan struktur gigi cukup kuat.
Rekomendasi Singkat
- Jika gigimu cukup baik kondisi strukturnya, hanya warnanya yang ingin diperbaiki, dan kamu ingin prosedur yang relatif cepat dan biaya lebih rendah → bleaching gigi bisa jadi pilihan.
- Jika gigimu memiliki masalah bentuk/ukuran/celah/noda berat, atau kamu ingin hasil yang lebih tahan lama dan estetik maksimal → veneer adalah pilihan yang lebih tepat.
- Jangan lupa untuk konsultasi dengan dokter gigi adalah langkah penting sebelum menentukan pilihan.

Setelah melakukan perawatan seperti bleaching atau veneer, gigi sebenarnya tetap membutuhkan perlindungan harian. Sayangnya, banyak pasta gigi di pasaran mengandung SLS, paraben, atau bahan abrasif tinggi yang justru bisa membuat gigi semakin sensitif dan enamel mudah terkikis.
Kalau enamel melemah, gigi bisa kembali menguning, terasa ngilu saat minum dingin atau panas, bahkan rentan berlubang. Padahal kamu sudah mengeluarkan biaya untuk mendapatkan senyum yang lebih putih dan percaya diri — masa hasilnya rusak hanya karena pasta gigi yang salah?
Lindungi hasil perawatan gigimu dengan Pasta Gigi Herbal Waji, diformulasikan dengan 98% bahan alami, tanpa SLS dan paraben, serta memiliki daya abrasif rendah yang aman untuk enamel. Kandungan fluoride-nya membantu menguatkan gigi dan memberi 5 Proteksi Alami agar gigimu tetap bersih, kuat, dan cerah lebih lama.
Gunakan Pasta Gigi Herbal Waji setiap hari untuk menjaga kesehatan mulut sekaligus mempertahankan warna cerah gigimu — biar senyum putihmu tidak hanya cantik hari ini, tapi juga bertahan dalam jangka panjang!
