Masalah gigi dan mulut sering kali dianggap sepele, padahal dampaknya bisa cukup serius jika tidak ditangani sejak dini. Salah satu hal yang paling sering terjadi adalah penumpukan plak dan karang gigi.
Meski terdengar mirip, perbedaan plak dan karang gigi sebenarnya cukup signifikan, baik dari segi bentuk, penyebab, hingga cara penanganannya. Yuk, simak di bawah ini agar kamu lebih paham dan bisa menjaga kesehatan gigi dengan optimal!
Apa Itu Plak Gigi?

Plak gigi adalah lapisan tipis, lengket, dan tidak berwarna yang terbentuk di permukaan gigi. Plak terdiri dari kumpulan bakteri, sisa makanan, serta air liur yang menempel pada gigi.
Menurut American Dental Association (ADA), plak terbentuk secara alami setiap hari, terutama setelah kamu makan makanan yang mengandung gula atau karbohidrat.
Bakteri dalam plak akan menghasilkan asam yang dapat merusak enamel gigi dan memicu gigi berlubang.
Plak biasanya memiliki ciri-ciri berikut:
- Terasa licin atau sedikit kasar saat disentuh lidah
- Terbentuk dalam waktu 4–12 jam setelah menyikat gigi
- Mudah dibersihkan dengan menyikat gigi dan flossing secara rutin
Jika tidak dibersihkan, plak akan mengeras dan berubah menjadi karang gigi.
Apa Itu Karang Gigi?

Karang gigi (dalam istilah medis disebut kalkulus) adalah plak yang mengeras akibat penumpukan mineral dari air liur. Proses pengerasan ini bisa terjadi dalam waktu 24–72 jam setelah plak terbentuk.
Menurut Mayo Clinic, karang gigi tidak dapat dibersihkan hanya dengan menyikat gigi biasa. Kamu memerlukan tindakan profesional seperti scaling oleh dokter gigi.
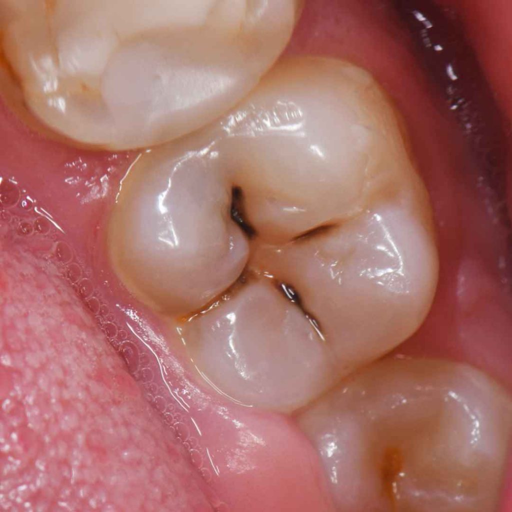
Karang gigi biasanya memiliki tanda:
- Berwarna kuning kecokelatan atau kehitaman
- Terlihat jelas di garis gusi
- Membuat permukaan gigi terasa kasar
- Menjadi tempat berkembangnya bakteri lebih banyak
Karang gigi yang menumpuk bisa menyebabkan radang gusi (gingivitis) hingga penyakit periodontal yang lebih serius.
Perbedaan Plak dan Karang Gigi
Apakah plak sama dengan karang gigi? Seperti yang telah disebutkan bahwa keduanya berbeda. Memahami perbedaan plak dan karang gigi sangat penting agar kamu bisa melakukan perawatan yang tepat sejak dini.
Keduanya sama-sama terbentuk dari sisa makanan dan aktivitas bakteri di dalam mulut, tetapi memiliki karakteristik, proses terbentuk, serta dampak yang berbeda. Plak adalah lapisan tipis yang terbentuk setiap hari di permukaan gigi akibat interaksi antara bakteri, sisa makanan, dan air liur.
Jika tidak segera dibersihkan, plak akan mengalami proses mineralisasi, yaitu mengeras karena bercampur dengan mineral dalam air liur. Pada tahap inilah plak berubah menjadi karang gigi (kalkulus) yang lebih sulit dihilangkan.
Agar lebih jelas, berikut rangkuman perbedaannya dalam bentuk tabel:
Tabel Perbedaan Plak dan Karang Gigi
| Aspek Perbedaan | Plak Gigi | Karang Gigi |
| Bentuk dan Tekstur | Lunak, lengket, tipis, dan biasanya tidak berwarna sehingga sulit terlihat | Keras, kasar, menempel kuat pada gigi, berwarna kuning, cokelat, bahkan kehitaman |
| Waktu Terbentuk | Terbentuk setiap hari, bahkan dalam hitungan jam setelah menyikat gigi | Terbentuk ketika plak tidak dibersihkan dan mengeras dalam 24–72 jam |
| Cara Menghilangkan | Bisa dibersihkan dengan menyikat gigi rutin dan menggunakan benang gigi (dental floss) | Tidak bisa hilang dengan sikat gigi biasa, harus melalui prosedur scaling oleh dokter gigi |
| Dampak pada Kesehatan Gigi | Dapat menyebabkan gigi berlubang karena bakteri menghasilkan asam yang merusak enamel | Memicu radang gusi (gingivitis), bau mulut, penyakit periodontal, bahkan gigi goyang |
Dari penjelasan di atas, dapat disimpulkan bahwa plak adalah tahap awal yang masih bisa kamu kendalikan dengan kebiasaan menjaga kebersihan gigi yang baik. Sementara itu, karang gigi merupakan kondisi lanjutan akibat plak yang tidak dibersihkan secara optimal dan memerlukan perawatan profesional.
Karena itu, semakin rutin kamu membersihkan gigi dengan teknik yang benar, semakin kecil risiko plak berkembang menjadi karang gigi dan menyebabkan masalah yang lebih serius.
Dampak Plak dan Karang Gigi Jika Dibiarkan

Kamu mungkin berpikir bahwa plak dan karang gigi hanya masalah estetika. Padahal, dampaknya bisa lebih serius, seperti:
1. Gigi Berlubang
Plak mengandung berbagai jenis bakteri, salah satunya Streptococcus mutans, yang memetabolisme gula dari makanan dan minuman menjadi asam. Asam inilah yang secara perlahan mengikis enamel, yaitu lapisan terluar gigi yang berfungsi melindungi struktur di bawahnya.
Proses ini disebut demineralisasi. Jika terjadi terus-menerus tanpa diimbangi kebersihan mulut yang baik, enamel akan melemah dan terbentuklah lubang kecil. Lubang ini lama-kelamaan bisa membesar hingga mencapai dentin dan bahkan pulpa (bagian dalam gigi yang mengandung saraf dan pembuluh darah).
Akibatnya, kamu bisa merasakan:
- Nyeri saat makan atau minum manis, panas, atau dingin
- Gigi terasa ngilu
- Infeksi yang menyebabkan pembengkakan
Jika tidak ditangani, karies dapat berkembang menjadi abses gigi yang memerlukan perawatan saluran akar atau bahkan pencabutan.
2. Radang Gusi (Gingivitis)
Karang gigi yang menumpuk di sepanjang garis gusi menjadi tempat berkembang biaknya bakteri. Racun yang dihasilkan bakteri tersebut dapat mengiritasi jaringan gusi dan memicu peradangan.
Gejala gingivitis biasanya meliputi:
- Gusi tampak merah dan membengkak
- Gusi mudah berdarah saat menyikat gigi
- Rasa tidak nyaman atau nyeri ringan pada gusi
Pada tahap ini, kerusakan masih bersifat reversibel. Artinya, jika kamu segera membersihkan karang gigi melalui scaling dan memperbaiki kebiasaan menyikat gigi, kondisi gusi bisa kembali sehat. Namun, jika dibiarkan, peradangan bisa berkembang menjadi kondisi yang lebih parah.
3. Penyakit Periodontal (Periodontitis)
Ketika gingivitis tidak diobati, infeksi dapat menyebar ke jaringan pendukung gigi, termasuk ligamen periodontal dan tulang alveolar (tulang penyangga gigi). Kondisi ini disebut periodontitis.
Pada tahap ini, kerusakan tidak hanya terjadi pada gusi, tetapi juga struktur yang menopang gigi. Gejalanya antara lain:
- Gusi menyusut (resesi gusi)
- Gigi tampak lebih panjang
- Gigi goyang
- Nyeri saat mengunyah
Dalam kasus yang parah, periodontitis dapat menyebabkan kehilangan gigi permanen. Selain itu, beberapa penelitian menunjukkan adanya hubungan antara penyakit periodontal dengan kondisi sistemik seperti penyakit jantung dan diabetes.
4. Bau Mulut Kronis (Halitosis)
Bau mulut bukan hanya disebabkan oleh makanan beraroma tajam, tetapi juga bisa berasal dari aktivitas bakteri di dalam plak dan karang gigi. Bakteri anaerob di rongga mulut menghasilkan senyawa sulfur volatil (volatile sulfur compounds/VSC) yang berbau tidak sedap.
Jika plak dan karang gigi terus menumpuk, produksi senyawa sulfur meningkat sehingga bau mulut menjadi kronis dan sulit hilang meskipun kamu sudah menggunakan permen atau obat kumur.
Kondisi ini tentu dapat:
- Menurunkan rasa percaya diri
- Mengganggu interaksi sosial
- Menjadi tanda adanya infeksi gusi
Menurut Badan Kesehatan Dunia (WHO), penyakit gigi dan mulut termasuk salah satu masalah kesehatan paling umum di dunia dan sebagian besar dapat dicegah melalui kebersihan mulut yang baik serta pemeriksaan rutin ke dokter gigi.
Karena itu, penting bagi kamu untuk tidak menyepelekan plak dan karang gigi. Dengan menyikat gigi secara rutin, menggunakan benang gigi, dan melakukan scaling secara berkala, kamu bisa mencegah berbagai komplikasi yang lebih serius di kemudian hari.
Cara Menghilangkan Plak dan Karang Gigi

Mengetahui cara menghilangkan plak dan karang gigi sangat penting agar kamu bisa menjaga kesehatan mulut secara optimal.
1. Sikat Gigi dengan Teknik yang Benar
Sikat gigi minimal dua kali sehari selama dua menit menggunakan pasta gigi berfluoride atau herbal antibakteri. Pastikan kamu menyikat seluruh permukaan gigi, termasuk bagian belakang dan sela-sela.
2. Gunakan Benang Gigi (Dental Floss)
Flossing membantu membersihkan sisa makanan dan plak di sela gigi yang tidak terjangkau sikat. Ini menjadi cara mencegah karang gigi secara alami dan cepat.
3. Gunakan Obat Kumur Antiseptik
Obat kumur dapat membantu mengurangi jumlah bakteri di rongga mulut. Pasalnya, beberapa jenis bakteri merupakan pemicu plak yang apabila dibiarkan bisa menyebabkan karang gigi.
4. Scaling Rutin ke Dokter Gigi
Untuk karang gigi yang sudah mengeras, kamu perlu melakukan scaling minimal setiap 6 bulan sekali. Langkah ini akan memastikan kebersihan gigi dan mulut terjaga secara baik. Hasilnya akan terhindar dari plak dan karang gigi.
5. Kurangi Konsumsi Gula Berlebih
Makanan manis mempercepat pembentukan plak karena menjadi “makanan” bagi bakteri. Oleh karenanya, menghindari makanan manis akan mencegah dari pertumbuhan bakteri penyebab plak dan karang gigi.
Peran Pasta Gigi Herbal dalam Mencegah Plak

Selain teknik menyikat yang benar, pemilihan pasta gigi juga berperan penting. Pasta gigi herbal dengan kandungan antibakteri alami dapat membantu menghambat pertumbuhan bakteri penyebab plak.
Beberapa bahan herbal seperti siwak dikenal memiliki sifat antibakteri dan telah digunakan secara tradisional untuk menjaga kebersihan gigi. Penelitian yang dipublikasikan dalam Journal of Clinical and Diagnostic Research menunjukkan bahwa ekstrak siwak memiliki efek antimikroba terhadap bakteri penyebab plak.
Dengan penggunaan rutin, pasta gigi herbal dapat membantu:
- Mengurangi pembentukan plak
- Menjaga kesehatan gusi
- Menyegarkan napas
- Membantu mencegah radang gusi
Cegah Berbagai Masalah Gigi dengan Rutin Pakai Pasta Gigi Herbal Waji

Menjaga kesehatan gigi bukan hanya soal menyikat secara rutin, tetapi juga memilih produk yang tepat. Kamu bisa mulai cegah berbagai masalah gigi dengan rutin pakai Pasta Gigi Herbal Waji yang diformulasikan dengan bahan herbal pilihan.
Dengan kandungan herbal yang membantu melawan bakteri penyebab plak, Pasta Gigi Herbal Waji dapat menjadi solusi harian untuk:
- Membantu membersihkan plak sebelum mengeras menjadi karang gigi
- Menjaga kesehatan gusi
- Mengurangi risiko bau mulut
- Memberikan rasa bersih dan segar lebih lama
Penggunaan secara rutin dua kali sehari dapat membantu kamu meminimalkan risiko terbentuknya plak berlebih dan menjaga senyum tetap sehat. Yuk, dapatkan produknya sekarang juga!
